

Desenvolvi este curso para te ensinar tudo o que você precisa para alcançar resultados naturais e de alta qualidade no seu consultório.

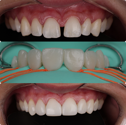
Descubra como alcançar estética, harmonia e resistência nas restaurações, garantindo sorrisos mais naturais e pacientes mais satisfeitos.
Descubra como alcançar estética, harmonia e resistência nas restaurações, garantindo sorrisos mais naturais e pacientes mais satisfeitos.
Descubra como alcançar estética, harmonia e resistência nas restaurações, garantindo sorrisos mais naturais e pacientes mais satisfeitos.


Compartilho com você não só a teoria, mas todas as nuances práticas que desenvolvemos em anos de atendimento clínico. São protocolos testados e aperfeiçoados em milhares de casos reais, que vão desde restaurações simples até reabilitações estéticas complexas.
Aqui, você aprende exatamente o que funciona no dia a dia do consultório.
PROVA DO MÉTODO







Primeiro Dia
Segundo Dia
Terceiro Dia
Se você busca aumentar o ticket médio, conquistar pacientes mais exigentes e se tornar referência em restaurações estéticas, esse é o caminho certo para você.
Domine técnicas avançadas em resinas compostas e entregue resultados que chamam atenção pela qualidade.
Ofereça procedimentos de alto valor agregado e aprenda a precificar seu trabalho com confiança.
Conquiste pacientes que valorizam estética, qualidade e estão dispostos a investir em tratamentos premium.
Domine técnicas que equilibram estética e funcionalidade, entregando sorrisos autênticos e harmônicos.
Fortaleça sua imagem profissional e se torne a principal referência em estética dental na sua região.
Conquiste pacientes que valorizam estética, qualidade e estão dispostos a investir em tratamentos premium.
Sim, ao final do evento, todos receberão o link de um teste, e após preenchê-lo, receberão o certificado de conclusão por e-mail.


Há 17 anos, iniciei minha jornada na Odontologia com um propósito: transformar sorrisos preservando sua naturalidade. Sou formada pela UFU, com especialização em Ortodontia, mestrado e especialização em Dentística pela São Leopoldo Mandic — onde tive o orgulho de ter meu artigo publicado em uma revista internacional.
Em 2020, criei o Curso Resina 1ª Opção para compartilhar tudo o que aprendi sobre resinas compostas e ajudar outros dentistas a se destacarem na estética.
Se você quer elevar o nível dos seus atendimentos e se tornar referência em restaurações estéticas, esse curso é pra você!
Desenvolvido por DocOn Marketing Médico